Zum Inhalt

Wundinfektion

CME: postoperative Komplikationen in der Dermatochirurgie managen

Neben der richtigen Verschlusstechnik, ist die Nachsorge bei dermatochirurgischen Eingriffen essenziell. Ziel ist es, Komplikationen frühzeitig zu erkennen und gezielt zu behandeln. Wie das geht, lesen Sie in dem folgenden CME-Beitrag. 

weiterlesen

Kasuistiken

Myiasis einer Wunde unter extremen Hitzebedingungen

Bei einem 58-jährigen Mann mit Diabetes mellitus Typ 2 wurde nach einer Luxationsfraktur ein Fixateur angelegt. Trotz intensiver Wundversorgung wurde 2 Tage nach der letzten Wundvisite ein massiver Fliegenmadenbefall der Eintrittsstellen des Fixateurs diagnostiziert. Die Außentemperaturen lagen zu dem Zeitpunkt bei 28–32,8 °C.

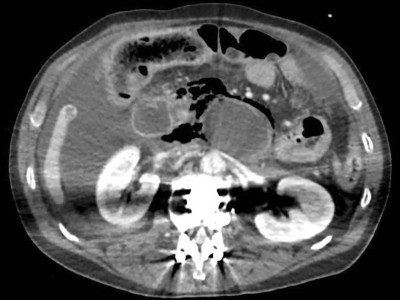
Fatale retroperitoneale nekrotisierende Fasziitis durch Aeromonas-Bakteriämie

Ein 59-jähriger Mann mit Magenkarzinom in der Vorgeschichte kommt mit schweren Schmerzen im Oberbauch in die Notaufnahme. Sein Zustand verschlechtert sich rapide. Bei der Laparotomie zeigt sich eine retroperitoneale nekrotisierende Fasziitis. Versuche, den Sepsisverlauf einzudämmen, bleiben erfolglos. Die Ursache findet sich letztendlich im nekrotischen Gewebe.

Die Hände verraten den Auslöser dieser Krise

14 Tage nach einer Appendektomie kämpft eine 16-Jährige mit einer Wundinfektion – begleitet von Fieber und Erbrechen. Aufgrund einer Exsikkose und stark reduziertem Allgemeinzustand wird sie stationär aufgenommen. Trotz Infusionstherapie lässt sich die arterielle Hypotonie und Tachykardie nicht in den Griff bekommen – auch die Eskalation der antibiotischen Therapie bringt keine Besserung. Ein Blick auf ihre Hände führte schließlich auf die richtige Fährte.

Weitere Artikel aus unseren Fachzeitschriften

CME: Wie vorgehen bei Nadelstichverletzungen in der Praxis?

Verletzungen des medizinischen Personals mit scharfen und spitzen Instrumenten zählen zu den häufigsten Arbeitsunfällen im Gesundheitswesen. Wenn die verletzenden Instrumente mit Patientenblut kontaminiert sind, besteht die Gefahr einer Infektion mit blutübertragbaren Erregern. Was ist dann zu tun?

S3-Leitlinie perioperative Antibiotikaprophylaxe – das Wichtigste für die Anästhesiologie

Aus anästhesiologischer Sicht ist der Applikationszeitpunkt wohl einer der wichtigsten Aspekte hinsichtlich der perioperativen Antibiotikaprophylaxe (PAP). Ähnliches gilt für die neuen Leitlinienempfehlungen zu Substanzwahl, Dauer der PAP und Umgang mit einer vermuteten Penicillinallergie.

Perioperative Hitzeschutzmaßnahmen bei steigenden Sommertemperaturen und deren Bedeutung für die Gefäßchirurgie

Steigende Sommertemperaturen infolge des Klimawandels stellen besondere Herausforderungen, in der (Gefäß‑)Chirurgie, für das perioperative Management dar. Vulnerable Patientengruppen mit kardiovaskulären Komorbiditäten sind bei Hitzestress einem …

Antibiotika und Dermatochirurgie – was verändern die neuen Empfehlungen?

Neben der steigenden Resistenzentwicklung birgt der breite Einsatz von Antibiotika auch Risiken für die operierten Patientinnen und Patienten. Für die strukturierte Indikationsstellung einer Antibiotikatherapie in der Dermatochirurgie geben die Positionspapiere der Deutschen Gesellschaft für Dermatochirurgie (DGDC) aktuelle Empfehlungen.

S3-Leitlinie: Perioperative und -interventionelle Antibiotikaprophylaxe

Die perioperative Antibiotikaprophylaxe ist entscheidend, um Wundinfektionen nach Operationen zu verhindern. Was gilt bei orthopädischen Eingriffen, bei offenen Frakturen oder einer Hüft-TEP? Und wie ist bei Allergien vorzugehen? Die neue S3-Leitlinie beantwortet diese und weitere wichtige Fragen für den klinischen Alltag.

Empfehlungen zum perioperativen Umgang mit der Haut vor der Implantation einer Endoprothese: Antimikrobielle Waschlotion, Precleaning und Rasur

Ziel dieser Arbeit ist es, die Ergebnisse einer systematischen Literaturrecherche und deren Bewertung durch das Komitee „Perioperatives Management“ der Arbeitsgemeinschaft Endoprothetik zum Therma „Antimikrobielle Waschlotion, Precleaning und …

Wie muss die Wundversorgung nach einem Hundebiss aussehen?

Ein 55-jähriger Mann wurde von seinem eigenen Hund durch den Handschuh gebissen. Mit Verletzungen sowohl am Handrücken als auch in der Hohlhand stellte er sich umgehend in der Bereitschaftsdienstpraxis vor. Über die dort durchgeführte Wundversorgung kam es zum Rechtsstreit.

„QSWI“, ein Qualitätssicherungsverfahren zur Vermeidung postoperativer Wundinfektionen

Das Qualitätssicherungsverfahren QSWI soll zur Vermeidung postoperativer nosokomialer Wundinfektionen (NWI) einen Vergleich der Qualität der Leistungserbringer (LE) bestimmter sogenannter „TRACER-Operationen“ erstellen. Hierzu wird unter anderem …

Fünf Schlüsselfragen zur Diagnostik schlecht heilender Wunden

Vor jeder Behandlung einer lokalen Wunde steht die Diagnose der zugrundeliegenden Erkrankung. Diese Übersicht fasst die 2023 aktualisierte S3-Leitlinie „Lokaltherapie schwerheilender und/oder chronischer Wunden aufgrund von peripherer arterieller Verschlusskrankheit, Diabetes mellitus oder chronischer venöser Insuffizienz“ zusammen.

Infektprophylaxe bei Sectio – wie und wann?

Ein wichtiger Baustein in der Prävention von postoperativen Wundinfektionen nach einem Kaiserschnitt ist die perioperative Antibiotikaprophylaxe (PAP). Wann verabreicht man diese am besten und welche Konsequenzen hat das für das Neugeborene?

Videos und Webinare

Webinar

S3-Leitline perioperative Antibiotikaprophylaxe

  • Webinar | 29.05.2025 | 16:30

Fast jede vierte nosokomiale Infektion in Deutschland ist eine postoperative Wundinfektion. Die neue S3-Leitlinie zur perioperativen und periinterventionellen Antibiotikaprophylaxe will das ändern. Was bedeutet das Upgrade von S1 auf S3 für die klinische Praxis und welche Empfehlungen gelten nun? Darüber spricht Leitlinienautor Prof. Alt im MedTalk Leitlinie KOMPAKT für die Zeitschrift Orthopädie und Unfallchirurgie.

Prof. Dr. Volker Alt
MedTalk Leitlinie KOMPAKT

Buchkapitel zum Thema

Wundheilung und Wundmanagement

Auf dem Gebiet der Wundbehandlung hat sich in den letzten Jahren sehr viel verändert. Die etwas profane Ansicht, dass jeder erfahrene Arzt oder jede erfahrene Pflegende auch komplexe Wunden behandeln kann, ist schon lange nicht mehr haltbar. Hinzu …

Plasmabehandlung von Wunden

Chronische Wunden stellen eine äußerst heterogene Erkrankungsgruppe dar. Die häufigsten Ursachen von Hautwunden bestehen in venösen und/oder arteriellen Durchblutungsstörungen, Diabetes mellitus oder konstantem Druck. Die moderne Wundbehandlung …

Komplikationen bei der Versorgung akuter Wunden

Obwohl die akute Wundversorgung global nach den gleichen Standards abläuft, die einfach und unkompliziert umzusetzen sind, kommt es hierbei nicht selten zu verzögerten Heilungsprozessen, Infektionen und sekundärer Wundheilung und damit auch zu …

Nicht gefunden, wonach Sie suchten?

Probieren Sie es mit der Suchfunktion:

Neu im Fachgebiet Chirurgie

Operationen am Morgen sind für Patienten weniger riskant

Patienten, die schon früh am Tag auf dem OP-Tisch zu liegen kommen, haben bessere Überlebenschancen als am Nachmittag operierte. Allerdings sind die im Zuge einer Studie ermittelten Mortalitätsraten insgesamt niedrig und die Differenzen gering – wenngleich signifikant.

Gebrechlichkeits-Score sagt Komplikationen nach Herz-Op. voraus

Wie gebrechlich jemand ist, entscheidet offenbar wesentlich darüber, ob und wie gut er/sie eine Herzoperation übersteht. In einer Studie aus Michigan ging ein Punktwert von 5 oder höher auf der CFS (Clinical Frailty Scale) mit einer signifikant höheren Mortalität und Morbidität einher.  

Prophylaktische Antibiotika bei Nasentamponade ohne erkennbaren Nutzen

Bei immunsupprimierten Patientinnen und Patienten mit Nasentamponade nach anteriorer Epistaxis konnte durch eine prophylaktische Antibiotikagabe keine Reduktion klinisch relevanter Infektionen erzielt werden. Die Rate unerwünschter Arzneimittelwirkungen lag hingegen deutlich über der Infektionsrate.

Periprothetische Infektion: Welches Verfahren beim Prothesenwechsel liegt im Trend?

Eine periprothetische Gelenkinfektion stellt ein erhebliches Mortalitätsrisiko in der Endoprothetik dar. Der Prothesenwechsel kann in einem einzeitigen oder zweizeitigen Verfahren erfolgen. Die Wahl des Verfahrens beeinflusst die Prognose maßgeblich, der Trend geht aber klar in eine Richtung.

Update Chirurgie

Bestellen Sie unseren Fach-Newsletter und bleiben Sie gut informiert.

Bildnachweise
Insellappenplastik an der Nase/© Schlecht N. und Schlarb D. / all rights reserved Springer Medizin Verlag GmbH, Eine Pinzette wird vom Tisch genommen während einer OP/© JazzIRT / Getty Images / iStock (Symbolbild mit Fotomodellen), Trachealtubus/© Sherry Young / Stock.adobe.com (Symbolbild mit Fotomodell), Operation/© Alexander Lupin / Stock.adobe.com (Symbolbild mit Fotomodellen), Versorgung einer Wunde/© ARTFULLY-79 / stock.adobe.com (Symbolbild mit Fotomodell), Knochensäge im Einsatz bei Knie-TEP/© Issara / stock.adobe.com (Symbolbild mit Fotomodellen), Akute Appendizitis/© Springer Medizin, Team operiert/© HealthyShot / stock.adobe.com (Symbolbild mit Fotomodell), Eine Infusion wird platziert/© Annabell Gsödl / stock.adobe.com (Symbolbild mit Fotomodell), Wundversorgung am Unterschenkel/© Gina Sanders / stock.adobe.com, Zahn mit Karies im Zahnarztspiegel/© Сергей Кучугурный / stock.adobe.com, Bildgebung bei Appendizitis/© Reimer RP et al. / all rights reserved Springer Medizin Verlag GmbH, Oberflächliche Wundinfektion nach elektiver Relaparotomie/© Mueller-Elmau T & Friess H / all rights reserved Springer Medizin Verlag GmbH, Operation am Fuß/© เลิศลักษณ์ ทิพชัย / Stock.adobe.com (Symbolbild mit Fotomodellen), Dünndarmileus, retroperitoneale freie Luft und Aszites im CT/© Al Hossain Al Nour. et al. / all rights reserved Springer Medizin Verlag GmbH, Hyperpigmentierung der palmaren Handlinien bei 16-jähriger Patientin mit Morbus Addison/© Manske J et al. doi.org/10.1007/s00112-023-01850-3 unter CC-BY 4.0, Blutstropfen auf Handschuh/© Brandy Sites / Hemera / Thinkstock, Chirurgin hält Nadel/© virojt / stock.adobe.com (Symbolbild mit Fotomodell), Hand mit Hundebiss/© Dr. P. Marazzi / Science Photo Library, Wundbehandlung bei einem diabetischen Fuß/© kirov1969 / stock.adobe.com (Symbolbild mit Fotomodell), Kaiserschnittnarbe/© Jun / Getty Images / iStock (Symbolbild mit Fotomodell), Chirurgin und Assistentin bei OP/© Georgiy / stock.adobe.com (Symbolbild mit Fotomodellen), Search Icon, Senior und Rollstuhl auf Flur/© Peter Atkins / stock.adobe.com (Symbolbild mit Fotomodellen)