Zum Inhalt

Kardiologie

Aktuelle Übersichtsarbeiten

Bluthochdruck-Management in der Schwangerschaft und Stillzeit

Hypertensive disorders in pregnancy are common and carry significant maternal and fetal risks. Robust evidence from the CHAP- and CHIP-studies support clear management strategies including validated home or office blood pressure measurements …

Das Krebsrisiko von Hydrochlorothiazid – wie ist eine Prävention möglich?

Im Oktober 2018 wurde ein Rote-Hand-Brief veröffentlicht, der das Risiko von Hautkrebs im Zusammenhang mit der Einnahme von Hydrochlorothiazid (HCT) beschreibt [1]. Seitdem gibt es immer wieder Nachfragen bezüglich dessen Verschreibung. HCT wird …

Bluthochdruck bei Kindern und Jugendlichen

Bluthochdruck ist der wichtigste Risikofaktor für eine erhöhte kardiovaskuläre Morbidität und Mortalität. Da er überwiegend Erwachsene betrifft, wird das Risiko für eine Hypertonie und ihre Folgen bei Kindern und Jugendlichen oft nur unzureichend …

Blutdrucktherapie bei hypertensiver Krise – was tun, was lassen?

Bei der Beurteilung einer Person mit plötzlichem Blutdruckanstieg ist es wesentlich, zwischen hypertensiven Notfällen und unkontrollierter Hypertonie zu unterscheiden, da sich die Vorgehensweise erheblich unterscheidet. Beim hypertensiven Notfall …

Neurologische Prognose nach Herzstillstand und Reanimation

Nach zunächst erfolgreicher Reanimation mit Erreichen eines spontanen Rhythmus sind Patient:innen zumeist komatös und werden auf eine Intensivstation aufgenommen. Das Gehirn ist besonders vulnerabel für Schädigungen unter globaler Ischämie bzw.

Neue Myokarditis und Perikarditis Leitlinie der ESC: Zentrale Rolle der kardiovaskulären Magnetresonanztomographie (Herz-MRT) – DGK-Stellungnahme

Die neue Leitlinie der europäischen Gesellschaft für Kardiologie (ESC) aus 2025 definiert das inflammatorische Myokard- und Perikardsyndrom (IMPS) als Oberbegriff für entzündliche Herzerkrankungen. Der Fokus liegt auf der kardialen MRT, die …

Herzklappenchirurgie – Literaturübersicht 2024

  • TAVI
  • Übersichtsartikel

Wir haben die herzchirurgische Literatur zu Herzklappenerkrankungen des Jahres 2024 systematisch erfasst und eine Zusammenfassung erstellt.Im vergangenen Jahr wurde eine Debatte über den jeweiligen Wert der aus randomisierten Studien vs. der aus …

Koronarchirurgie – Literaturübersicht 2024

  • CABG
  • Übersichtsartikel

Wir haben die herzchirurgische Literatur des Jahres 2024 auf dem Gebiet der Koronarchirurgie systematisch erfasst und eine Zusammenfassung erstellt.Die Literatur aus dem Jahr 2024 bestätigte erneut die hervorragenden Langzeitergebnisse der …

Kabellose Herzschrittmacher

Kabellose Herzschrittmacher (Leadless Pacemaker, LP) sind eine etablierte Alternative zu transvenösen Systemen und reduzieren durch den Verzicht auf Sonden und Aggregattasche das Komplikationsrisiko signifikant – in Studien um bis zu 63 %. Aktuell …

Betablocker nach Myokardinfarkt ohne Herzinsuffizienz – Stellenwert in der Ära der koronaren Reperfusion

Die Einnahme eines Betablockers ist seit Jahrzehnten fester Bestandteil der Therapie nach einem Myokardinfarkt. Die Studien, auf denen diese Therapieempfehlung beruhen, sind allerdings teilweise vor einem halben Jahrhundert durchgeführt worden.

Modulares Herzrhythmusmanagement

Technologische Fortschritte in der Medizin ermöglichen inzwischen die kabellose antibradykarde Myokardstimulation. Kabellose Herzschrittmacher (Leadless Pacemaker, LP) wurden bereits von den Firmen Abbott (Abbott Park, IL, USA; Nanostim™, Aveir™ …

Interdisziplinäre Versorgung Erwachsener mit angeborenen Herzfehlern (EMAH)

Die EMAH bilden ein heterogenes PatientInnenkollektiv und stellen eine große Herausforderung für die klinische Versorgung dar. Die zugrunde liegenden angeborenen Herzfehler lassen sich entsprechend der Komplexität in 3 Gruppen unterteilen (Tab. 1 …

Antikoagulation im Rahmen dermatochirurgischer Eingriffe

Der perioperative Umgang mit Antikoagulation im Rahmen dermatochirurgischer Eingriffe stellt eine Herausforderung für Behandelnde dar. Die zahlreichen Formen der Blutverdünnung wirken an unterschiedlichen Orten in der Gerinnungskaskade, wodurch …

Endokardiale linksventrikuläre Stimulation im Jahr 2025

Die kardiale Resynchronisationstherapie (CRT) hat mit der Möglichkeit der Leitungssystemstimulation ein ergänzendes Verfahren und eine neue Therapieoption in der Behandlung der systolischen Herzinsuffizienz bekommen. Erweiternd kommen sondenlose …

Die Kehrseite intensiver Blutdruckkontrolle: 76-Jährige mit unerwarteten Komplikationen

Eine 76-jährige Patientin stellte sich in der Hochdrucksprechstunde zur Blutdruckeinstellung vor. Trotz langjähriger, sukzessiv gesteigerter Hypertonietherapie hatte sich in den letzten Jahren der systolische Blutdruck zunehmend – teilweise auf über 200 mmHg – erhöht. In den letzten Monaten kamen kardiale Beschwerden hinzu. Wie lautet Ihre Diagnose? 

Demenz im Spektrum: der idiopathische Normaldruckhydrozephalus

Gangstörungen und kognitive Beeinträchtigung im Alter: Der idiopathische Normaldruckhydrozephalus stellt mit seiner komplexen Pathogenese eine diagnostische Herausforderung dar. Dieser Beitrag beleuchtet aktuelle Erkenntnisse zu klinischen …

Die vaskuläre kognitive Störung

Die vaskuläre kognitive Störung ist nach der Alzheimer-Erkrankung die zweithäufigste Demenzform. Dieser Beitrag beschreibt die Pathomechanismen und Risikofaktoren dieser wichtigen Krankheit und erläutert Diagnostik und Therapie.

Frühe Atherosklerose-Erkennung per Ultraschall

Atherosklerotische Plaques entwickeln sich bevorzugt in Gefäßregionen mit turbulentem Blutfluss, insbesondere an den Verzweigungen der A. carotis communis (in A. carotis interna und externa), der Aorta abdominalis (in Aa. iliacae) und der A.

Kardiogener Schock durch Tachykardiomyopathie

Bei der Aufnahme weist der Patient einen stark reduzierten Allgemeinzustand auf. Seine Blutdruckwerte sind hypoton (107/74 mmHg) und er zeigt eine Tachykardie (125 Schläge pro Minute) mit unregelmäßigen Herzaktionen bei Vorhofflimmern. Die …

Sequenztherapie des metastasierten kolorektalen Karzinoms

Die Einführung interdisziplinärer und zielgerichteter Therapiekonzepte verbesserte die Prognose von Patienten mit metastasiertem kolorektalem Karzinom (mCRC) signifikant. Anhand klinischer sowie molekularbiologischer Charakteristika werden …

Herz, Niere, Shunt – eine Dreiecksbeziehung

Die Hämodialyse als häufigstes Nierenersatzverfahren benötigt einen Zugang zur Blutzirkulation des Patienten, was in den meisten Fällen über einen arteriovenösen Shunt (AV-Shunt) erfolgt. Diese chirurgisch erstellte Zugangsform etabliert aus …

Metabolisch bariatrische Operation als „Bridging“ zur Transplantation – Konzepte und Ergebnisse

Der Anteil der Bevölkerung mit Übergewicht/Adipositas steigt weltweit an. Damit sind auch Patienten mit dem Vollbild Adipositas-assoziierter Begleiterkrankungen bis hin zur Organinsuffizienz zunehmend auf den Transplantationslisten vertreten. Ein …

Was ist gesichert in der Therapie der schwer zu kontrollierenden arteriellen Hypertonie?

Bei der therapierefraktären Hypertonie liegen die Blutdruckwerte oberhalb des Zielbereichs, obwohl 3 verschiedene Antihypertensiva inklusive eines Diuretikums in maximaler oder maximal tolerierter Dosierung verordnet wurden. Eine häufige und …

Erstversorgung und Stabilisierung von Erwachsenen mit angeborenen Herzfehlern (EMAH)

Angeborene Herzfehler umfassen ein breites Spektrum unterschiedlicher Anatomien und Physiologien. Residuen nach operativen bzw. interventionellen Eingriffen im Kindesalter prägen den klinischen Verlauf ebenso wie zum Teil multiple …

Transatlantische Harmonie bei den Hochdruckleitlinien

Im August dieses Jahres wurden die neuen US-Leitlinien für die Behandlung der arteriellen Hypertonie publiziert. „Was interessieren uns amerikanische Empfehlungen?“, könnte man fragen. „Reichen uns nicht die beiden Leitlinien der Europäischen …

Herz und Schlaf – ein starkes Team!

Schlafbezogene Atmungsstörungen sind mit einer erhöhten kardiovaskulären Morbidität und Mortalität assoziiert und stellen einen potenziell modifizierbaren Risikofaktor dar. Im Beitrag erfahren Sie, wie Schlafapnoe mit arterieller Hypertonie, koronarer Herzkrankheit oder Herzinsuffizienz zusammenhängt und worauf diagnostisch als auch therapeutische geachtet werden sollte.

Zentrale Schlafapnoe – wenn das Atemzentrum im Schlaf aussetzt

Die zentrale Schlafapnoe (ZSA) ist eine schlafbezogene Atmungsstörung, die durch wiederholte Aussetzer des vom Hirnstamm ausgehenden Atemantriebs während des Schlafs gekennzeichnet ist. Im Gegensatz zur obstruktiven Schlafapnoe liegt bei der ZSA …

Was ist gesichert in der medikamentösen Therapie der Herzinsuffizienz?

Die Behandlung der Herzinsuffizienz differiert je nach linksventrikulärer Ejektionsfraktion (LVEF) und stellt sowohl für Patienten mit reduzierter (HFrEF) oder leicht reduzierter Ejektionsfraktion (HFmrEF) als auch für Patienten mit erhaltener …

Gefäßverschluss nach elektrophysiologischen Eingriffen – praxisnah erklärt

Die geplante Ambulantisierung elektrophysiologischer Eingriffe stellt die verantwortlichen Ärztinnen und Ärzte vor die Herausforderung, Patientinnen und Patienten nach nur wenigen Stunden Überwachung sicher in das häusliche Umfeld entlassen zu …

Welches Anästhesieverfahren bei pulmonaler Hypertonie?

Bei Personen mit pulmonaler Hypertonie ist das perioperative Risiko deutlich erhöht – formale Leitlinie zum Management dieser vulnerablen Gruppe jedoch fehlen. Nach welchen Empfehlungen Sie sich richten können, zeigt diese fallbasierte Übersicht: von der präoperativen Risikoevaluation über das anästhesiologische Vorgehen bis hin zur postoperativen Überwachung.

Chirurgische Techniken zur Behandlung der sekundären Mitralklappeninsuffizienz

Die Mitralklappenrekonstruktion bei sekundärer Mitralklappeninsuffizienz wurde Ende der 1990er-Jahre eingeführt, wobei erste Berichte aus kleinen Patientenkohorten vielversprechende Ergebnisse zeigten [ 1 ]. Diese Studien belegten eine effektive …

Kommentar zum Clinical Consensus Statement zur Indikation für Conduction System Pacing der Europäischen Gesellschaft für Kardiologie (ESC)

Das Clinical Consensus Statement der Europäischen Gesellschaft für Kardiologie (ESC) aktualisiert die Expertenmeinungen zum Conduction System Pacing (CSP). Es stellt keine aktualisierte ESC-Schrittmacher-Leitlinie von 2021 dar, da hierzu die …

Elektrische Kardioversion von Vorhofflimmern – DGK‑Positionspapier

  • Zur Zeit gratis
  • Schock
  • Übersichtsartikel

Dieses Positionspapier der DGK bietet praxisnahe Empfehlungen zur sicheren und effektiven Durchführung der elektrischen Kardioversion (EKV). Die EKV ist eine etablierte Methode zur Wiederherstellung des Sinusrhythmus bei persistierendem …

Bewusstsein bei Reanimation – wie weiter bei dem 62-Jährigen?

Unter laufender Reanimation bewegt ein Mann plötzlich die Arme und scheint zuzubeißen – der Spontankreislauf allerdings fehlt nach wie vor. Die Rettungskräfte entscheiden sich zu Sedierung und Intubation; die Wiederbelebung wird fortgesetzt. Ein seltener Fall von „Cardiopulmonary Resuscitation-Induced Consciousness“ mit ausführlicher Diskussion.

Medizinische Kompressionstherapie bei fortgeschrittener Herzinsuffizienz – wirklich immer kontraindiziert?

Eine chronische Herzinsuffizienz (CHI) führt zu peripheren Ödemen. Die medizinische Kompressionstherapie (MK) ist meist die Basis der konservativen Behandlungsmethoden von Beinödemen [ 1 ]. Sie wird aktuell aber bei Patienten mit Beinödeme und CHI …

Therapie des chronischen Koronarsyndroms

Nicht immer ist eine Obstruktion der großen Koronararterien Ursache für die Beschwerden beim chronischen Koronarsyndrom. Das Update der Guidelines der ESC 2024 hat die bislang wenig beachteten nicht obstruktiven koronaren Gefäßerkrankungen Angina sowie Ischemia with Non-Obstructive Coronary Arteries (ANOCA, INOCA) in den Fokus gerückt.

Mit freundlicher Unterstützung von:
  • Puren Pharma GmbH & Co. KG

Extrakranielle Karotisstenose: Prävalenz, Diagnostik und Therapie

Für die Versorgung einer symptomatischen oder asymptomatischen Stenose der A. carotis interna (ACI) sind in den aktuellen Leitlinien sowohl chirurgische als auch endovaskuläre Behandlungsverfahren fest verankert. Alle Leitlinien diskutieren …

Natrium-Glukose-Co-Transporter-2 (SGLT-2)-Hemmer in der perioperativen Medizin

Natrium-Glukose-Co-Transporter-2 (SGLT-2)-Hemmer sind orale Antidiabetika, die inzwischen auch unabhängig von einem Diabetes mellitus zur Behandlung der chronischen Herzinsuffizienz und der chronischen Niereninsuffizienz zugelassen sind. Über eine …

Trikuspidalklappenintervention: reicht Lebensqualitätsverbesserung als Grund?

Große Studien zeigen bisher keine signifikante Verbesserung der Mortalitäts- und Rehospitalisierungsrate nach Trikuspidalklappenintervention. Patienten berichten allerdings von einer deutlich gesteigerten Lebensqualität. Dieser Beitrag beleuchtet …

Interventionelle Therapie der Trikuspidalklappeninsuffizienz

Der demografische Wandel erhöht die Zahl älterer Patienten mit symptomatischer Trikuspidalklappeninsuffizienz - einer Erkrankung mit hoher Morbidität und Mortalität. Minimalinvasive, kathetergestützte Verfahren wie der …

Moderate Mitralklappeninsuffizienz: katheterbasierte Behandlung sinnvoll?

Dieser Pro-Kontra-Beitrag analysiert die Vor- und Nachteile der interventionellen Therapie im Vergleich zur konservativen Behandlung, wobei der Unterschied zwischen primärer und sekundärer Mitralklappeninsuffizienz herausgestellt und die …

Grenzfall: behandeln, oder nicht behandeln?

Die geschätzte glomeruläre Filtrationsrate (eGFR) betrug 92 ml/min auf 1,73 m 2 . Das Albumin-Kreatin-Verhältnis im Urin lag bei 3 mg Albumin/g Kreatinin und das Non-HDL-Cholesterin bei 85 mg/dl. Der HbA 1c -Wert lag bei 4,8 %. Darüber hinaus …

Prophylaktische ICD-Implantation rettet Leben

Am Aufnahmetag war der Patient im eigenen Wald mit Holzarbeiten beschäftigt, als er kurzzeitig Schwindel verspürte und anschließend bewusstlos wurde. Thorakale Schmerzen oder gar Herzrasen hatte der Patient nach eigenen Angaben nicht. Der …

Lipidtherapie: welche Rolle spielt das Geschlecht?

Prämenopausal haben Frauen höhere HDL-C-Spiegel, niedrigere Triglyzeride (TG) und geringere LDL-C-Werte als Männer. Zudem dominieren bei Frauen größere, weniger dichte LDL-Partikel, während Männer kleinere, dichtere LDL-Partikel aufweisen, die …

DGK-Fortbildungscurriculum/-qualifikation: Kardiologische Fachassistenz für interventionelle Kardiologie

In der interventionellen Kardiologie unterstützen medizinische Fachangestellte, Pflegekräfte, operationstechnisches Assistenzpersonal sowie medizinische Technologinnen und Technologen die Medizinerinnen und Mediziner bei der täglichen Arbeit. Die …

Update Leitlinie arteriosklerotische Nierenarterienstenose

Die vorliegende Publikation beleuchtet die jüngsten Aktualisierungen und Änderungen der S2k-Leitlinie zu Erkrankungen der Nierenarterie, die unter der Federführung der Deutschen Gesellschaft für Gefäßchirurgie und Gefäßmedizin e. V. (DGG) in einem …

Chirurgische Transkatheter-Aortenklappenexplantation

  • TAVI
  • Übersichtsartikel

Mit dem rasanten Anstieg der Transkatheter-Aortenklappenimplantationen (TAVR) ist auch die Zahl der notwendigen Reinterventionen stark gewachsen. Insbesondere die herzchirurgische Explantation von TAVR-Prothesen (engl. Explant-TAVR) entwickelt …

Thrombozytenaggregationshemmung beim ischämischen Schlaganfall – ein Update

Weltweit ist der Schlaganfall eine häufige Ursache für den Tod und im Erwachsenenalter die häufigste Ursache für eine bleibende Behinderung [ 1 ]. Der ischämische Schlaganfall ist bei Weitem deutlich häufiger als der hämorrhagische, das gilt …

Antithrombotische Therapie für kardiologische Eingriffe bei Patienten mit Thrombozytopenie bei onkologischen Erkrankungen

Die antithrombotische Behandlung ist ein Grundpfeiler zur Verhinderung ischämischer Ereignisse in der interventionellen Kardiologie. Allerdings erhöht die antithrombotische Medikation das Risiko für Blutungen. Onkologische Erkrankungen gehen …

Die koronare Herzerkrankung – ein deutsches Paradoxon

Das deutsche Gesundheitssystem steht vor Herausforderungen bei der Diagnostik der koronaren Herzerkrankung (KHK), darunter eine hohe Mortalität trotz Hightech-Medizin und eine übermäßige Anzahl an Koronarangiographien. Ein zentrales Problem ist …

EKG-Veränderungen im Ausdauersport

  • EKG
  • Übersichtsartikel

Ein junger Radsportler stellt sich zur Vorsorgeuntersuchung des Weltradsportverbands vor. Sein EKG zeigt für das intensive aerobe Training typische Veränderungen ohne Krankheitswert. Wie kann man diese sicher erkennen?

Neue Perfusions- und Konservierungstechniken im Rahmen der Herztransplantation

Aktuell stehen für die Organentnahme und den Organtransport im Rahmen der Herztransplantation mehrere unterschiedliche Systeme und Methoden zur Verfügung. Der hypotherme Transport des kardioplegierten Herzens stellt dabei sicherlich die mit …

Der Aortenklappenersatz bei jungen Patienten und Patientinnen: die Ozaki-Technik

Der Aortenklappenersatz mittels glutaraldehydfixiertem autologem Perikard nach Shigeyuki Ozaki stellt eine Therapiealternative zur Ross-Operation oder zum prothetischen Klappenersatz für jüngere Patienten dar, welche keine orale Antikoagulation …

Das Nationale Obduktionsnetzwerk nach der COVID-19-Pandemie

Obduktionen zählen seit jeher zu den zentralen Instrumenten der Qualitätssicherung in der Medizin und haben ihren festen Platz im rechtsmedizinischen Alltag. Ihre Relevanz für die biomedizinische Forschung ist jedoch erst im Zuge der …

Neue Antihypertensiva – was liegt vor uns?

Trotz zahlreicher verfügbarer Medikamente ist Bluthochdruck nach wie vor unzureichend kontrolliert. Therapieresistenz, mangelnde Adhärenz, Nebenwirkungen und begrenzte Wirkung auf Endorganschäden stellen zentrale Herausforderungen dar. Neue …

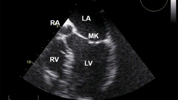
Howto FoCUS: Tipps zum fokussierten Herzultraschall im Notfall

Die fokussierte Sonographie des Herzens (FoCUS) ist integraler Teil der Notfallsonographie. Welche klinischen Fragestellungen können mittels FoCUS beantwortet werden? Welche Schallfenster und Schnittebenen sind relevant? Dieser Beitrag vermittelt die Grundlagen und beschreibt fünf typische Befundkonstellationen bei Schock.

Bronchopulmonale-Dysplasie-assoziierte pulmonale Hypertonie

Die bronchopulmonale Dysplasie (BPD) ist eine schwerwiegende Komplikation der Frühgeburtlichkeit, die neben den parenchymatösen Lungenveränderungen auch mit pulmonalen Gefäßveränderungen und der Entwicklung einer pulmonalen Hypertonie (BPD-PH) …

Anästhesie bei Personen mit LVAD – das ist anders

Nichtkardiochirurgische Eingriffe bei Menschen mit linksventrikulärem Herzunterstützungssystem (LVAD) sind eine besondere perioperative Herausforderung. Grund sind die veränderte Hämodynamik, technische Aspekte und die erforderliche Antikoagulation. Wie Sie mit dem Balanceakt zwischen Thrombose- und Blutungsrisiko umgehen – auch in Notfallsituationen.

Pulmonale Hypertonie – Definition, Klassifikation und Diagnose

Im Rahmen der 7. Weltkonferenz für pulmonale Hypertonie (PH) wurden die wichtigsten Themen zur Definition, Klassifikation und Diagnostik der PH umfassend diskutiert. In diesem Review fassen wir die aktuellen Empfehlungen zusammen, überblicken ihren wissenschaftlichen Hintergrund und beschreiben ihre praktischen Auswirkungen auf den klinischen Alltag.

Management der pulmonalarteriellen Hypertonie

Dieser Beitrag gibt einen Überblick über den aktuellen Therapiealgorithmus bei pulmonalarterieller Hypertonie (PAH) – inklusive der Bedeutung einer strukturierten Risikostratifikation, frühzeitigen Reevaluierung und Therapieeskalation. Darüber hinaus werden besondere Situationen wie Schwangerschaft, perioperative Betreuung und Komorbiditäten adressiert.

Elektronische Patient-Reported Outcome Measures in der Kinderkardiologie

Die WHO definiert Lebensqualität („quality of life“, QoL) als die individuelle Wahrnehmung einer Person von ihrer Position im Leben im Kontext von Kultur, Wertesystemen sowie bezüglich ihrer Ziele, Erwartungen, Standards und Anliegen [ 1 ]. Aspekte …

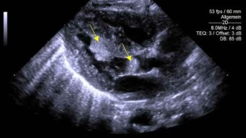
Herztumoren im Kindesalter

Herztumoren bei Kindern und Jugendlichen sind selten, stellen jedoch eine erhebliche medizinische Herausforderung dar. Dieser Beitrag gibt einen Überblick über die verschiedenen Tumorarten, ihre Hämodynamik, die damit verbundene klinische Präsentation, diagnostische Verfahren und aktuelle Behandlungsmöglichkeiten.

Chronisch thromboembolische pulmonale Erkrankung

Die chronisch thromboembolische pulmonale Erkrankung (CTEPD) kommt mit (CTEPH) und ohne pulmonale Hypertonie vor und ist eine seltene Komplikation der akuten oder rezidivierenden Lungenembolie. Durch unzureichende Thrombolyse und begünstigende …

Rhythmologie bei Kindern, Jugendlichen und angeborenen Herzfehlern

Kinder, Jugendliche und Patienten mit angeborenem Herzfehler weisen ein einzigartiges und breites Spektrum von Arrhythmien auf, deren Diagnostik und Therapie hochspezialisierte medizinische Versorgungsstrukturen erfordert. Dazu gehören neben einer …

Risikostratifizierung der pulmonalarteriellen Hypertonie und Lungentransplantation sowie überbrückende Maßnahmen

Die Risikostratifizierung für Patient*innen mit pulmonalarterieller Hypertonie (PAH) fand erstmals 2015 Einzug in die European Society of Cardiology(ESC)/European Respiratory Society(ERS)-Leitlinien zur Diagnose und Behandlung der pulmonalen …

Linksventrikuläre Elektrodenimplantation im Rahmen der kardialen Resynchronisationstherapie

Die kardiale Resynchronisationstherapie (CRT) ist ein wichtiger Bestandteil der Therapie herzinsuffizienter Patienten mit reduzierter linksventrikulärer Ejektionsfraktion und verbreitertem Kammerkomplex bei Schenkelblock. Der Positionierung der …

InspeCKD – Analyse zur Prävalenz, Diagnose und Therapie der chronischen Nierenerkrankung

Ziel der InspeCKD-Studie war es, die Versorgungssituation (einschließlich diagnostischer Verfahren) von Patienten mit erhöhtem CKD-Risiko in der hausärztlichen Routineversorgung in Deutschland zu untersuchen. Gegenstand dieser hier vorliegenden …

Zukunftsorientierte Weiterentwicklung einer „individualisierten“ kardiopulmonalen Reanimation

Um die Effektivität von Wiederbelebungsmaßnahmen und die Behandlungsergebnisse zu optimieren, ist eine kontinuierliche Weiterentwicklung der kardiopulmonalen Reanimation (CPR) notwendig. Dieser Übersichtsartikel diskutiert Erkenntnisse der …

Internistische Nachsorge nach Transplantation solider Organe

In diesem Beitrag werden wichtige Prinzipien der Nachsorge nach Herz‑, Leber‑, Lungen- und Nierentransplantation dargestellt, denn eine enge Verzahnung zwischen Transplantationszentren, niedergelassenen Fachärzten und Hausärzten ist entscheidend für den Erfolg.

Pathobiologie und Genetik der pulmonalen Hypertonie

Die pulmonalarterielle Hypertonie (PAH) ist eine komplexe vaskuläre Erkrankung, die durch eine ausgeprägte pathobiologische und genetische Heterogenität gekennzeichnet ist. Im Rahmen der 7. Weltkonferenz für pulmonale Hypertonie (7. WSPH) wurden …

S3-Leitlinie perioperative Antibiotikaprophylaxe – das Wichtigste für die Anästhesiologie

Aus anästhesiologischer Sicht ist der Applikationszeitpunkt wohl einer der wichtigsten Aspekte hinsichtlich der perioperativen Antibiotikaprophylaxe (PAP). Ähnliches gilt für die neuen Leitlinienempfehlungen zu Substanzwahl, Dauer der PAP und Umgang mit einer vermuteten Penicillinallergie.

Immunthrombosen nicht übersehen! Von den Warnzeichen bis zur Therapie

Immunthrombosen durch Antikörper gegen Plättchenfaktor 4 (PF4) sind lebensbedrohlich. Bei akuten Formen treten die Symptome in einem typischen Zeitfenster von fünf bis 30 Tagen nach einem Trigger auf – etwa nach einer Heparintherapie oder einem Virusinfekt. Die Prognose hängt entscheidend von der frühzeitigen Erkennung und Behandlung ab. So gehen Sie vor.

Kawasaki-Syndrom – Diskussion zur US-Leitlinie von 2024

Sieben Jahre nach der letzten Stellungnahme hat die American Heart Association ihre Leitlinien zum Kawasaki-Syndrom aktualisiert. Die Diagnose bleibt klinisch; ein spezifischer Biomarker fehlt weiterhin. Die erforderliche Fieberdauer wurde von 5 …

Sportmedizinische Langzeitbetreuung von Soldaten

Die Prävention von Überlastungsschäden am Bewegungsapparat und der Erhalt der Einsatzfähigkeit sind für Soldaten bedeutsam und stehen in einem direkten Zusammenhang. Für die Feststellung des Erhalts der Leistungsfähigkeit eignen sich …

Enhanced Recovery After Minimally Invasive Cardiac Surgery – eine prospektive randomisierte Studie

In den letzten Jahrzehnten konnten in dem Gebiet der Herzchirurgie bedeutende Fortschritte sowohl im anästhesiologischen und im perioperativen Bereich als auch bei den Operationstechniken erzielt werden [ 1 – 3 ]. Hierbei ist v. a. der zunehmende …

Akutes Koronarsyndrom – vom Einsatzort bis ins Herzkatheterlabor

Notruf frühmorgens zu einem Mann, der seit ca. 30 min stärkste Brustschmerzen hat und kaum noch atmen kann. Der 52-Jährige ist kaltschweißig, unruhig und ängstlich. Kommentiert mit vielen Praxistipps zeigt diese Kasuistik eine Versorgungsstrategie für das akute Koronarsyndrom auf. Worauf kommt es bei Monitoring, Auswahl der Zielklinik und Übergabe an?

DGK-Curriculum Onkologische Kardiologie

Das Curriculum „Onkologische Kardiologie“ soll dazu dienen, Kardiologen in Diagnose, Prävention und Therapie kardiovaskulärer Nebenwirkungen von Krebstherapien auszubilden. Themen umfassen kardiovaskuläre Toxizität, Pharmakologie …

Vereinbarkeit von Familie und Rhythmologie

Die Rhythmologie, bestehend aus Device-Therapie und invasiver Elektrophysiologie, ist ein wachsendes interventionelles Feld innerhalb der Kardiologie, das bisher größtenteils Männer besetzen, für das sich aber immer mehr Frauen interessieren. Da …

Blutdruckziel unter 130/80 mmHg: Die Evidenz wird robuster

In den aktuellen Hypertonie-Leitlinien der nationalen und europäischen Fachgesellschaften ist es unbestritten, dass Menschen mit Blutdruckwerten > 140/90 mmHg behandelt werden sollten. Damit stellt sich automatisch die essenzielle Frage nach dem Zielblutdruck: Welcher Wert sollte angestrebt werden?

Molekulare Autopsie – postmortale genetische Diagnostik nach einem plötzlichen Herztod

Die Autopsierate ist weltweit und auch in Deutschland rückläufig. Ein erheblicher Anteil der Fälle eines plötzlichen Herztods („sudden cardiac death“ [SCD]) wird durch hereditäre arrhythmogene Erkrankungen verursacht, vor allem bei jungen …

Konsensuspapier zur fokussierten transösophagealen Echokardiographie (fTEE) in der Klinischen Akut- und Notfallmedizin

Die fokussierte transösophageale Echokardiographie (fTEE) wird neben der Intensivmedizin zunehmend auch in Notaufnahmen angewandt. Eine fTEE sollte nur im Rahmen der erweiterten kardiopulmonalen Reanimation oder im unklaren Schockgeschehen …

Konsensuspapier zur fokussierten transösophagealen Echokardiographie (fTEE) in der Klinischen Akut- und Notfallmedizin

Die fokussierte transösophageale Echokardiographie (fTEE) wird neben der Intensivmedizin zunehmend auch in Notaufnahmen angewandt. Eine fTEE sollte nur im Rahmen der erweiterten kardiopulmonalen Reanimation oder im unklaren Schockgeschehen …

Neue Empfehlungen: fokussierte transösophageale Echokardiographie in Akut- und Notfallmedizin

Voraussetzungen, Indikationen und Praxistipps: Ein neues Konsensuspapier gibt umfassende Empfehlungen zum Einsatz der fokussierten transösophagealen Echokardiographie (fTEE) in der klinischen Akut- und Notfallmedizin. Verfasst von der Kommission für Klinische Kardiovaskuläre Medizin der DGK in Kooperation mit der DGINA, DGIIN und DGIM.

TEVAR – Thoracic Endovascular Aortic Repair

Die endovaskuläre Behandlung der thorakalen Aorta nimmt einen sehr wichtigen Teil bei der Behandlung der Patienten mit Aortenpathologien ein. Dank der Möglichkeiten für eine kathetertechnische Ausschaltung mittels einer Endoprothese der …

Therapieoptionen bei Rechtsherzversagen nach Herztransplantation

Die orthotope Herztransplantation ist der therapeutische Goldstandard in der Behandlung der fortgeschrittenen Herzinsuffizienz. Eine bedeutende postoperative Komplikation ist die primäre Transplantatdysfunktion (PGD), welche sich als …

Kardiale Implantate auf Röntgenbildern: temporäre mechanische Kreislaufunterstützungssysteme

  • ECMO
  • Übersichtsartikel

Der Einsatz mechanischer Kreislaufunterstützungssysteme bei akuter Herzinsuffizienz nimmt zu. Diese Systeme reduzieren die Mortalität und Morbidität signifikant, wenn sie vor dem Auftreten schwerer kardialer und systemischer Organversagen …

Wie sinnvoll ist ein Präeklampsie-Screening im 3. Trimenon?

Präeklampsien treten mehrheitlich rund um den Geburtstermin auf – therapeutisch bleibt dann meist nur die Einleitung. Doch die Folgen reichen weit über die Entbindung hinaus: Das Risiko für Herzinfarkt, Schlaganfall und Thrombose steigt deutlich. Könnte ein gezieltes Screening im dritten Trimenon die Prognose verbessern?

VRONI: Früherkennung statt Herzinfarkt

In Deutschland leben über 300.000 Menschen mit familiärer Hypercholesterinämie (FH). Dabei handelt es sich um die häufigste genetisch bedingte Stoffwechselerkrankung, die durch deutlich erhöhte LDL-Cholesterinwerte (LDL-C) bereits von Kindheit an …

Polyzystisches Ovarsyndrom im Fokus

Das polyzystische Ovarsyndrom betrifft jede achte Frau. Es ist gekennzeichnet durch kardiovaskuläre Risikofaktoren wie Insulinresistenz und Adipositas und stellt ein geschlechtsspezifisches Risiko für frühzeitig auftretende kardiometabolische …

Metabolische Lebererkrankungen MASLD und MASH

Die metabolische Dysfunktion-assoziierte steatotische Lebererkrankung (MASLD) ist mit einer globalen Prävalenz von ca. 25 % die häufigste chronische Lebererkrankung. Die neue europäische Leitlinie bietet umfassende Empfehlungen zu Diagnose und …

Leitlinienkonforme Adipositastherapie

Gemäß der Leitlinien der Deutschen Adipositas-Gesellschaft sind Arzneimittel zur Gewichtsreduktion immer als adjuvante Therapie zusätzlich zu Ernährungs-, Bewegungs- und Verhaltenstherapien einzusetzen. Diese Vorgehensweise entspricht den …

Wenn der Eventrecorder blind bleibt

Am Aufnahmetag in unsere Klinik erlitt die Patientin beim Aufstehen einen starken Schwindelanfall, konnte sich zwar wieder hinsetzen, verlor jedoch unmittelbar darauf das Bewusstsein. Die erneute neurologische Abklärung auf der Stroke Unit war …

Präeklampsie einschätzen bevor es kritisch wird

Präeklampsie manifestiert sich bei manchen Schwangeren auf Leber, Niere oder sogar die Lunge. Eine differenzierte Diagnostik hilft, die Schwere und Dynamik der Erkrankung frühzeitig zu erkennen sowie fetale und maternale Komplikationen zu vermeiden. Welche Rolle spielen spezifische angiogene Marker? Und wann ist schnelles Handeln gefragt?

Pro und Kontra: Prädiabetes in den neuen ESC-Leitlinien

Die neue europäische Leitlinie zu Diabetes und kardio-renalen Erkrankungen schließt bewusst den Prädiabetes aus – trotz hitziger Diskussionen. Dieser Pro-Kontra-Beitrag beleuchtet die beiden Standpunkte.

Minimalinvasiver Ansatz zum Ersatz der aufsteigenden Aorta zum proximalen Aortenbogen

Minimalinvasive Techniken haben sich in der Aortenchirurgie stetig weiterentwickelt. Während jedoch der isolierte Ersatz der Aorta ascendens über eine obere Hemisternotomie mittlerweile gut etabliert ist, gibt es bislang nur begrenzte Erfahrungen …

58-Jährige mit neurologischen Beschwerden – ist eine frühere Schwangerschaft schuld?

Seit zehn Jahren lagen die Blutdruckwerte einer 58-Jährigen bei über 200/120 mmHg – ohne Beschwerden. Vor drei Monaten kam es plötzlich zu einer transitorischen ischämischen Attacke. Ein Blick in die Anamnese ergab: Vor 30 Jahren musste ihr Kind in der 33. Schwangerschaftswoche wegen Komplikationen geholt werden. Was verbindet dieses Ereignis mit den aktuellen Beschwerden?

Risikoevaluation bei thorakalem Aortenaneurysma

Thorakale Aortenaneurysmen bergen ein hohes Risiko für lebensbedrohliche Komplikationen wie akute Typ-A-Dissektionen. Die traditionelle Risikostratifikation basiert primär auf dem maximalen Aortendurchmesser, doch viele Dissektionen treten bei …

Neu im Fachgebiet Kardiologie

Vorhofflimmern: Wann auf Antikoagulation (vielleicht) verzichtet werden kann

Ob Patienten mit Vorhofflimmern nach erfolgreicher Katheterablation eine orale Antikoagulation oder den Thrombozytenhemmer ASS erhielten, macht mit Blick auf das Schlaganfallrisiko in der randomisierten OCEAN-Studie keinen Unterschied.

Lipidsenker Evolocumab punktet in großer Präventionsstudie

Patienten mit erhöhtem kardiovaskulärem Risiko, aber ohne Herzinfarkt oder Schlaganfall in der Vorgeschichte, profitieren prognostisch von einer Lipidsenkung mit dem PCSK9-Hemmer Evolocumab, zeigt die beim AHA-Kongress vorgestellte VESALIUS-CV-Studie.

STIKO ändert Empfehlung zur Herpes zoster-Impfung

Menschen mit erhöhtem Risiko, an Herpes zoster zu erkranken, empfiehlt die STIKO nun, sich bereits ab 18 statt ab 50 Jahren mit dem Totimpfstoff Shingrix impfen zu lassen.

Risiken von Nierenkranken gesunken, aber immer noch hoch

Patienten mit chronischen Nierenleiden tragen ein überschießendes Risiko für kardiovaskuläre Komplikationen und Blutungen. Das ist noch immer so, auch wenn sich die Situation im vergangenen Jahrzehnt gebessert hat, wie eine Studie belegt.

EKG Essentials: EKG befunden mit System (Link öffnet in neuem Fenster)

In diesem CME-Kurs können Sie Ihr Wissen zur EKG-Befundung anhand von zwölf Video-Tutorials auffrischen und 10 CME-Punkte sammeln.
Praxisnah, relevant und mit vielen Tipps & Tricks vom Profi.

Update Kardiologie

Bestellen Sie unseren Fach-Newsletter und bleiben Sie gut informiert.

Bildnachweise
Digitales Blutdruckmessgerät/© Kotchakorn / Stock.adobe.com (Symbolbild mit Fotomodell), Injektionsnadeln für Regionalanästhesie/© zlikovec / Getty Images / iStock, Reanimation/© Rea / stock.adobe.com, Langzeit-EKG mit junktionalem Ersatzrhythmus/© O. Schäfer, Fokussierter Herzultraschall (FoCUS)/© Dieter von Ow / all rights reserved Springer Medizin Verlag GmbH, Pulsoximeter wird an Finger angeschlossen/© Yakobchuk Olena / stock.adobe.com, Rhabdomyom im Kindesalter /© Höck M et al. doi.org/10.1007/s00112-025-02259-w unter CC-BY 4.0, Eine Pinzette wird vom Tisch genommen während einer OP/© JazzIRT / Getty Images / iStock (Symbolbild mit Fotomodellen), Venöse CT-Angiografie: Sinusthrombose/© Wohlfahrt L. et al. / all rights reserved Springer Medizin Verlag GmbH, Übergabesituation im Herzkatheterlabor/© Ernst M et al. / all rights reserved Springer Medizin Verlag GmbH (Symbolbild mit Fotomodellen), Frau misst Blutdruck/© Microgen / stock.adobe.com (Symbolbild mit Fotomodell), Transösophageale Echokardiographie (fTEE), 4‑Kammer-Blick/© Michels M et al. / all rights reserved Springer Medizin Verlag GmbH, Screening auf Präeklampsie/© Musik T et al. / all rights reserved Springer Medizin Verlag GmbH, Arzt nimmt Schwangeren Blut ab/© Andrey Popov / stock.adobe.com (Symbolbild mit Fotomodellen), Patient im Gespräch mit Ärztin/© sebra / stock.adobe.com (Symbolbild mit Fotomodellen), Mann hält Tablette und ein Glas Wasser in den Händen/© somenski / Fotolia (Symbolbild mit Fotomodell), Herpes Zoster am Rücken/© Mumemories / Getty Images / iStock (Symbolbild mit Fotomodell), EKG befunden mit System - EKG Essential/© Springer Medizin Verlag GmbH