Zum Inhalt

CME: Worte wie Medizin – so kommunizieren Sie therapeutisch in der Anästhesie

Symptome, Krankheitsverlauf, Wirksamkeit und Nebenwirkungen von Therapien – kurzum das Outcome – werden wesentlich auf kommunikativer Ebene beeinflusst. Deshalb diese CME Fortbildung. Einige der Themen: Wortwahl im Notfall, Begleitung von Operationen, Kommunikation mit Bewusstlosen und mit Personen in Trance.

weiterlesen

Weiterführende Themen

Welches Anästhesieverfahren bei pulmonaler Hypertonie?

Bei Personen mit pulmonaler Hypertonie ist das perioperative Risiko deutlich erhöht – formale Leitlinie zum Management dieser vulnerablen Gruppe jedoch fehlen. Nach welchen Empfehlungen Sie sich richten können, zeigt diese fallbasierte Übersicht: von der präoperativen Risikoevaluation über das anästhesiologische Vorgehen bis hin zur postoperativen Überwachung.

weiterlesen

SOP: Gezielte Sedierung in der Palliativversorgung

Bei therapierefraktären, unerträglichen Symptomen kann eine gezielte Sedierung das Leid der Betroffenen lindern. Unterschiedliche Formen der Sedierung stehen zur Auswahl. Diese SOP („Standard Operating Procedure“) führt Sie durch wichtige Fragestellungen. Wie stellen Sie die Indikation? Welche Sedierungstiefe ist nötig? Was müssen Sie bei Aufklärung und Monitoring beachten?

weiterlesen

Arzneimittel im Straßenverkehr

Nicht nur eine Erkrankung, sondern auch deren medikamentöse Therapie können Fahreignung und -sicherheit deutlich beeinträchtigen. In einem MMW-Webinar gab ein Rechtsmediziner, der seit mehreren Jahrzehnten Kriminalpolizei und Staatsanwaltschaft berät, einen praxisnahen Überblick zu problematischen Substanzen und rechtssicherer Aufklärung.

weiterlesen

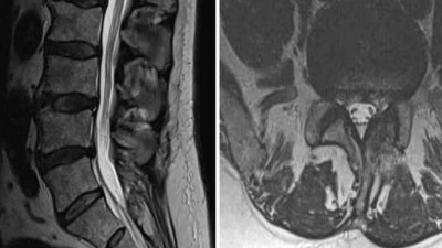
Chronische Schmerzen nach Wirbelsäulen-Op.? So gehen Sie vor

Ein „Persistent Spinal Pain Syndrome Typ 2“ ist alles andere als selten – die Betroffenen leiden unter anhaltenden oder wiederkehrenden starken Dauerschmerzen und Funktionseinschränkungen nach einer Wirbelsäulen-Op. Wer profitiert von konservativen Maßnahmen, wann ist eine Reoperation angezeigt, und bei wem stellen neuromodulative Verfahren eine Alternative dar?

weiterlesen

Welches Anästhesieverfahren bei pulmonaler Hypertonie?

Bei Personen mit pulmonaler Hypertonie ist das perioperative Risiko deutlich erhöht – formale Leitlinie zum Management dieser vulnerablen Gruppe jedoch fehlen. Nach welchen Empfehlungen Sie sich richten können, zeigt diese fallbasierte Übersicht: von der präoperativen Risikoevaluation über das anästhesiologische Vorgehen bis hin zur postoperativen Überwachung.

weiterlesen

Kasuistiken

Kasuistik: Die Therapie ist effektiv, aber leider auch lebensbedrohlich

Ein Patient, der seit sechs Jahren unter chronischem Juckreiz leidet, erhält eine Behandlung mit dem monoklonalen Antikörper Omalizumab. Das verbessert den Befund erheblich. Nun treten jedoch gelegentlich Symptome einer Anaphylaxie mit schwerer Dyspnoe auf. Besteht hier ein Zusammenhang?

Anaphylaktischer Schock bei Narkoseeinleitung – wie wären Sie vorgegangen?

Eingeleitet wird die Allgemeinanästhesie bei dem 64-jährigen Krebspatienten mit Fentanyl, Lidocain, Propofol und Rocuronium. 30 Sekunden später entwickelt der Mann eine ausgeprägte Tachykardie, kurz darauf alle Anzeichen eines anaphylaktischen Schocks. Es wird mehr als Adrenalin, Antihistaminika und Volumengabe brauchen, um den Mann zu retten.

Plötzliche postoperative Komplikation nach Spinalanästhesie

Eine Stunde zuvor wurde die ältere, adipöse Patientin noch problemlos unfallchirurgisch operiert. Jetzt wird sie im Aufwachraum plötzlich komatös und intensivpflichtig. Gab es präoperativ Hinweise darauf? Aus der Evaluation: COPD, chronische Niereninsuffizienz, beginnende Demenz und Eigenmedikation mit u.a. Bromazepam seit fast 40 Jahren.

Weitere Artikel aus unseren Fachzeitschriften

Behandlung von Suchterkrankungen im Strafvollzug

Die Assoziation von Substanzkonsumstörungen mit dissozialem Verhalten und Delinquenz ist empirisch gesichert. Alkoholkonsumstörungen und Drogenabhängigkeit sind bei Strafgefangenen häufig und viele suchtkranke Straftäter müssen im Gefängnis …

Ultraschallgezielte periphere Nervenblockaden in der Schmerzmedizin

Ultraschallgezielte Nervenblockaden haben in der modernen Schmerzmedizin einen hohen Stellenwert. Sie dienen sowohl therapeutischen als auch diagnostischen Zwecken: Als therapeutische Verfahren ermöglichen sie eine gezielte, effektive …

Hypersensitivitätsreaktionen auf Tumeszenzlokalanästhesie bei dermatochirurgischen Eingriffen

Die Tumeszenzlokalanästhesie bietet viele Vorteile bei dermatochirurgischen Eingriffen, insbesondere bei älteren und multimorbiden Patienten, bei denen eine Vollnarkose mit Risiken verbunden ist. Echte Lokalanästhetikaunverträglichkeiten sind …

Welches Anästhesieverfahren bei pulmonaler Hypertonie?

Bei Personen mit pulmonaler Hypertonie ist das perioperative Risiko deutlich erhöht – formale Leitlinie zum Management dieser vulnerablen Gruppe jedoch fehlen. Nach welchen Empfehlungen Sie sich richten können, zeigt diese fallbasierte Übersicht: von der präoperativen Risikoevaluation über das anästhesiologische Vorgehen bis hin zur postoperativen Überwachung.

Was wirkt bei neuropathischen Schmerzen?

Die Special Interest Group Neuropathic Pain hat die 2015 veröffentlichten Empfehlungen zur Therapie chronischer neuropathischer Schmerzen aktualisiert. Einige wenige Änderungen gibt es.

Substitutionsbehandlung bei opioidabhängigen Strafgefangenen: Dreijahreskatamnese nach Haftentlassung

Opioidabhängigkeit ist im Strafvollzug vergleichsweise verbreitet und wird zunehmend mit Opioidagonisten behandelt. Diese Studie untersucht die langfristige Entwicklung von Haftentlassenen, die unter einer Opioidabhängigkeit leiden und entweder …

Selbsteinschätzung von Sicherheit und Kompetenz durch Notfallsanitäterinnen und Notfallsanitäter bei der Verabreichung von intravenösem Morphin zur Schmerztherapie

Mit der Umsetzung der Vorabdelegation über das Gemeinsame Kompendium Rettungsdienst stehen Notfallsanitäterinnen und Notfallsanitätern im Rheinisch-Bergischen Kreis eine Vielzahl von analgetischen Medikamenten, sowohl zur Therapie von traumatischem …

Anästhesie bei Personen mit LVAD – das ist anders

Nichtkardiochirurgische Eingriffe bei Menschen mit linksventrikulärem Herzunterstützungssystem (LVAD) sind eine besondere perioperative Herausforderung. Grund sind die veränderte Hämodynamik, technische Aspekte und die erforderliche Antikoagulation. Wie Sie mit dem Balanceakt zwischen Thrombose- und Blutungsrisiko umgehen – auch in Notfallsituationen.

Schmerzmodulierende Systeme und die Manuelle Medizin

Schmerz kann auf mehreren verschiedenen Ebenen des nozizeptiven Systems moduliert werden. Angefangen mit den primären nozizeptiven Afferenzen, die sensibilisiert oder desensibilisiert werden können, spielt sich ein großer Teil der nozizeptiven …

Durch das Foramen an die Nervenwurzel

Epidurale Injektionen gehören zu den am häufigsten durchgeführten Interventionen bei Bandscheibenvorfällen. Mit einer transforaminalen Injektion (periradikuläre Therapie) ist es möglich, gezielt eine Nervenwurzel zu erreichen. Wichtig für gute …

Sonderformate

Langfristig besser schlafen mit Daridorexant

Seit der Einführung des dualen Orexin-Rezeptor-Antagonisten Daridorexant vor zwei Jahren steht eine Therapie für Erwachsene mit chronischer Insomnie zur Verfügung. Durch dessen Einsatz können viele der Nachteile bisher eingesetzter Wirkstoffe vermieden werden, wie z.B. das Risiko körperlicher Abhängigkeit.

Mit freundlicher Unterstützung von:
  • Idorsia Pharmaceuticals Germany GmbH

Videos und Webinare

Webinar

Nichtmedikamentöse Verfahren der perioperativen Akutschmerztherapie in Klinik und Praxis

  • Webinar | 07.10.2025 | 17:30

Im aufgezeichneten Webinar geht es um drei innovative, interdisziplinäre Ansätze zur Schmerzbehandlung. Im Fokus stehen die Rolle einer nocebovermeidenden Kommunikation auf die Analgesie, der Einsatz von TENS in multimodalen Therapiekonzepten sowie die Anwendung virtueller Realität als ergänzendes Verfahren in der Schmerztherapie.

apl. Prof. Dr. med. Winfried Meißner apl.
Eveline Löseke
Dr. Isabel Neumann 
Deutsche Schmerzgesellschaft e.V.

Buchkapitel zum Thema

Opioide

Opioide sind wichtiger Bestandteil in der Akut- und Dauertherapie starker Schmerzen. Die Wirksamkeit bei tumorbedingten Schmerzen ist klinisch in großen Studien sehr gut belegt, schwach bzw. stark wirksame Opioide bilden die Basis der …

Medikamente zur Behandlung von Schlafstörungen

Indikationen, Wirkungsweise, Nebenwirkungen und Risiken, Kontraindikationen und Interaktionen werden für die Medikamente gegen Schlafstörungen beschrieben. Diese werden entsprechend den DSM-5- und ICD11-Kriterien neu geordnet. Die Strukturen …

Monitoring

Die typischerweise in der Anästhesie verwendeten Überwachungs- bzw. Monitoringverfahren werden im Einzelnen vorgestellt. Hierzu zählt neben dem obligaten Basismonitoring zum frühzeitigen Erkennen von kardiozirkulatorischen bzw. respiratorischen …

Blutgerinnung

Dieses Kapitel beschäftigt sich mit den Grundlagen der plasmatischen Gerinnung, den aktuell verfügbaren Gerinnungspräparaten, den verschiedenen Möglichkeiten der medikamentösen Gerinnungshemmung auf plasmatischer und thrombozytärer Ebene, der …

Nicht gefunden, wonach Sie suchten?

Probieren Sie es mit der Suchfunktion:

Neu im Fachgebiet AINS

Bundesverfassungsgericht: Triage-Regelung nicht mit Grundgesetz vereinbar

Das Bundesverfassungsgericht hat Regelungen zur Triage für nichtig erklärt. Es gab damit Verfassungsbeschwerden von Intensiv- und Notfallmedizinern statt. Der Eingriff in die Berufsfreiheit der Ärztinnen und Ärzte sei verfassungsrechtlich nicht gerechtfertigt, betont das Gericht.

Mit „pflanzlichen“ Supplementen in die adrenale Insuffizienz

Als pflanzlich deklarierte Nahrungsergänzungsmittel gelten mit Blick auf unerwünschte Effekte gemeinhin als harmlos. Wie sehr man sich hier irren kann, zeigt ein Fallbericht.

Was lindert kindliche Kopfschmerzen?

Die Migräne-Inzidenz steigt auch bei Kindern und Jugendlichen. Medikamentös gibt es nur wenige Optionen, insbesondere für die Prophylaxe. Multimodale Ansätze sind gefragt. Hilft dabei auch ein strukturiertes Riechtraining? 

Migräne in der Schwangerschaft: Welche Therapie ist überhaupt möglich?

CGRP-Antikörper und Rimegepant werden in der Schwangerschaft nicht eingesetzt. Worauf können schwangere Migräne-Patientinnen also akut und prophylaktisch zurückgreifen? Diese Frage wurde auf dem Schmerzkongress in Mannheim beantwortet. 

Update AINS

Bestellen Sie unseren Fach-Newsletter und bleiben Sie gut informiert.

Bildnachweise
Seniorin wird von Personal betreut/© [M] Robert Kneschke / stock.adobe.com (Symbolbild mit Fotomodellen), Injektionsnadeln für Regionalanästhesie/© zlikovec / Getty Images / iStock, Narkosemonitor im OP/© bilanol / stock.adobe.com, junger Mann mit Asthma-Attacke/© Pixel-Shot / stock.adobe.com (Symbolbild mit Fotomodell), Infusionstropf mit Pflegepersonal im Hintergrund/© Pitchy / stock.adobe.com (Symbolbild mit Fotomodell), Medizinisches Personal redet mit einer Person im Untersuchungsraum/© Gorodenkoff / stock.adobe.com (Symbolbild mit Fotomodellen), Hand an einer Lampe im Operationssaal/© karrastock / Stock.adobe.com, Aufwachraum/© Kzenon / stock.adobe.com (Symbolbild mit Fotomodellen), Box mit Tabletten/© ekachai050050 / stock.adobe.com (Symbolbild), Schenkelhalsfraktur prä- und postoperativ/© Henze K et al. / all rights reserved Springer Medizin Verlag GmbH, Operation/© santypan / stock.adobe.com (Symbolbild mit Fotomodellen), Periduralanästhesie/© Stephan Morrosch / stock.adobe.com, Intravenöse Verabreichung von Propofol/© Teresa Otto / Getty Images / iStock (Symbolbild mit Fotomodell), Intensivstation/© K-H Krauskopf, Wuppertal (Symbolbild mit Fotomodell), Thoraxdrainage: fraglicher Diskonnexionsschutz durch Fixierpflaster/© Schalk R et al. / all rights reserved Springer Medizin Verlag GmbH, Präoxygenierung mit Sauerstoffmaske/© chanawit / stock.adobe.com (Symbolbild mit Fotomodell), Mann im Gespräch mit Therapeutin/© Maria Korneeva / Getty Images / iStock (Symbolbild mit Fotomodellen), Ein Ärzteteam bei der Endoskopie untersucht den Magen einer Patientin/© Kzenon / stock.adobe.com (Symbolbild mit Fotomodellen), Schulterluxation/© Wanger A et al. / all rights reserved Springer Medizin Verlag GmbH, Posteriore Luxation des Sternoklavikulargelenks nach einem Mountainbikesturz/© Gleich J. et al. / all rights reserved Springer Medizin Verlag GmbH, Intubierter Intensivpatient/© Kiryl Lis / stock.adobe.com (Symbolbild mit Fotomodell), Verbrennung Grad 2b der Hand/© Springer Medizin Verlag GmbH, Untersuchungsraum mit MRT/© Springer Medizin Verlag GmbH, Mädchen und Arzt im Operationssaal/© WavebreakmediaMicro / Stock.adobe.com (Symbolbild mit Fotomodellen), Echokardiographie /© Renner J et al. / all rights reserved Springer Medizin Verlag GmbH, Endotracheale Intubation/© beerkoff / stock.adobe.com (Symbolbild mit Fotomodell), Tubus, Spritze und Cuff-Druck-Messer/© Reiffen H-P et al. doi.org/10.1007/s00101-024-01378-5 unter CC-BY 4.0, Künstliche Beatmung und Beatmungsschlauch/© sudok1 / stock.adobe.com (Symbolbild mit Fotomodellen), BIS-Monitor-Display/© Medtronic, 21.04.2022 (Mit freundlicher Genehmigung), Frau im Auto mit geschlossenen Augen/© Mixmike / Getty Images / iStock (Symbolbild mit Fotomodell), Ein Arzt sprüht ein antimikrobielles und entzündungshemmendes Spray in den entzündeten Hals eines Mädchens./© HENADZY / Stock.adobe.com (Symbolbild mit Fotomodell), Tablettenbox und Arzneimitteldöschen/© YinYang / Getty Images / iStock, Rettungssanitäter holt Medikament/© www.olliventure.de/stock.adobe.com, MRT der Lendenwirbelsäule/© E. Shiban, Offene Wunde im Oberkiefer und fehlender Frontzahn. Eine weißliche A-PRF-Matrix wird eingebracht./© D. Heimes, E. Naser | wissen kompakt (19)·3, Periduralanästhesie/© Pöpping DM, Gogarten W / all rights reserved Springer Medizin Verlag GmbH, Senior hält Tabletten und Glas Wasser in den Händen/© Andrii Zastrozhnov / Stock.adobe.com (Symbolbild mit Fotomodell), Ultraschallgeführte interskalenäre Nervenblockade des Plexus brachialis/© Zhao Y. et al. doi.org/10.1186/s12871-022-01963-4 unter CC-BY 4.0, Sonographische Darstellung eines Serratus-anterior-plane-Blocks/© Springer Medizin Verlag GmbH (aus Steinfeldt et al., Anaesthesist 2020; 69:860–877, Person mit Handschuhen sammelt Hanf/© CasarsaGuru / Getty Images / iStock (Symbolbild mit Fotomodell), Pulsoximeter wird an Finger angeschlossen/© Yakobchuk Olena / stock.adobe.com, Echokardiografie der Aortenklappe/© Pitchy / stock.adobe.com, Intensivstation/© JazzIRT / Getty images / iStock (Symbolbild mit Fotomodellen), Eine Pinzette wird vom Tisch genommen während einer OP/© JazzIRT / Getty Images / iStock (Symbolbild mit Fotomodellen), Intubation bei transoraler roboterassistierter Chirurgie/© Jolissaint M. et al. doi.org/10.1007/s00101-025-01566-x unter CC-BY 4.0, Schwangere mit Venenkatheter/© Inez / stock.adobe.com (Symbolbild mit Fotomodell), CT-Pulmonalisangiographie zeigt Alveoläres Lungenödem/© Crossey F et al. / all rights reserved Springer Medizin Verlag GmbH, Bildtitel/© Klaus Eppele / stock.adobe.com (Symbolbild mit Fotomodell), Neugeborene Zwillinge liegen nebeneinander/© kckate16/Getty Images/iStock (Symbolbild mit Fotomodellen), Schmerzende Hände einer älteren Frau/© Evrymmnt / stock.adobe.com (Symbolbild mit Fotomodell), Elektrotherapie am Knie/© (M) ververidis / Stock.adobe.com(Symbolbild mit Fotomodellen), Search Icon, Junge Ärztin vor einem Triage-Zelt/© Milos / Stock.adobe.com (Symbolbild mit Fotomodell), Tabletten werden in Hand geschüttet/© O.Farion / Stock.adobe.com (Symbolbild mit Fotomodell), Kranker Junge mit erhöhter Temperatur/© Imgorthand / Getty Images / iStock (Symbolbild mit Fotomodell), Schwangere mit Medikament/© Stockbyte / Thinkstock (Symbolbild mit Fotomodell)